How to Turn Yellow Teeth to White?
We all have natural tooth color that may vary from person to person likewise some have whiter and brighter teeth whereas some have yellow teeth. But to get a perfect smile we desire to have whiter teeth so that we can smile confidently.
Is It Possible To Make Yellow Teeth White Again? What Can I Do?
However, there are some reasons that our teeth become yellow.
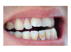
- It is quite natural that our teeth turn yellow with increasing age. The outer layer of our teeth which is called enamel is the hardest one and it is whiter in color. As the age increases, enamel is wearing off and underneath the layer called dentin becomes little visible and dentin is yellower than enamel. That is the reason with the time, we feel that our teeth become yellow which were not earlier.
- Improper brushing and cleaning of our teeth, plaque and calculus or tartar formation can occur on our teeth which will give yellow appearance.
- Consuming tobacco or smoking leaves brown stains on our teeth. Chewing hard things frequently wears enamel faster and teeth become yellow.
- Some food products or acidic drinks like coffee, tea, red wine, beetroot or more can stain your teeth if you use such products regularly.
So, the question comes to mind.
How Can I Get Rid of Yellow Teeth? Is it possible?
Indeed, you can have whiter teeth and You will have different options for treatments depending upon your needs and demand. In some cases, it comes under esthetic treatment while sometimes, it becomes mandatory to mask the teeth color.
Here we will discuss the different ideas of treatment to get whiter teeth.
- Scaling and polishing Plaque and tartar can be removed with scaling and polishing. And extrinsic stains like tobacco or tea or coffee stains can be removed with this procedure. But this will not help you to get white teeth. This will only help to remove outer superficial stains.
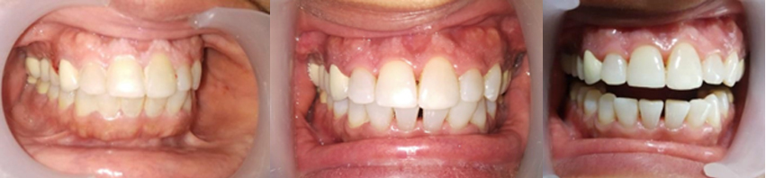
- Teeth whitening procedure To get whiter teeth, you should prefer to get the teeth whitening procedure done. There is a myriad of products available to bleach your teeth. Such products contain hydrogen peroxide. We do the PHILIPS ZOOM in-office teeth whitening procedure which is a professional whitening procedure which takes less than an hour. Firstly, we isolate the cheeks and lips. And we will apply a gel which has 25 percent hydrogen peroxide then we use a Zoom Advanced power chairside lamp which accelerates the whitening procedure. This kit also has an ACP to get rid of the sensitivity post-operatively. This product will surely satisfy your demand of whitening of teeth, and it will give you immediate and efficient results.

- Teeth whitening at home Doctor will make you a tray according to the size of your teeth. And you can apply home bleaching material on to the tray and you can keep it in the mouth for 15 minutes. This product has a lesser amount of hydrogen peroxide so you can do it at home easily without fear.
- Whitening strips and toothpaste. Whitening strips are also available. Doctor will place these strips on the outer surfaces of your teeth for some time. This is an economical option if your budget is constrained.
- There are different toothpastes which have charcoal that gives you good results. In some cases, where a tooth is dead or broken and becomes black in color.In that case, dental veneer or crown is the best option to mask the discoloration of teeth.
We do have all the options to get the whiter teeth and brighter smile. Your doctor will guide your which treatment is suitable for you. A simple procedure can show the miracle and will give you the confidence to smile fearlessly.
Looking for A Dentist for a Teeth Whitening Treatment?
US Dental Clinic in Ahmedabad, Gujarat is a world-class yellow teeth treatment provider pioneered by American trained and licensed dentists and dental implant surgeon. With state-of-the-art dental & implant centre, US Dental provides US standard, quality Teeth Whitening to all the patients ensuring a great dental treatment experience
We look forward to hearing from you.
Contact Us Today!