Restoring Your Smile with Dental Bridges and Implants
Restoring Your Smile with Dental Bridges and Implants A female patient who has lost her back teeth in early age…
Read More →
Restoring Your Smile with Dental Bridges and Implants A female patient who has lost her back teeth in early age…
Read More →
Are Dentures or Dental Implants Better? Missing teeth can affect daily life. The absence of teeth can have various negative…
Read More →
I feel my implant is moving. What could be the reason? The replacement of missing teeth through dental implantation has…
Read More →
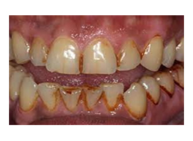
How to Deal with Pyorrhea? Patient has visited us with the chief complaint of multiple upper and lower loose teeth.…
Read More →
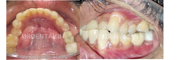
Dental Implants to Replace Missing Back Teeth One young patient visited US Dental clinic with a complaint of improper chewing…
Read More →
Jaw pain: Symptoms, Causes, and Treatments – Case of the Month A lady visited US Dental clinic with severe sensitivity…
Read More →
How to Do a Front Tooth Root Canal Treatment? A middle-aged female patient visited US Dental clinic in Ahmedabad with…
Read More →
What is the best option for replacing missing teeth? A male patient visited US Dental clinic in Ahmedabad with the…
Read More →
Why Does My Jaw Hurt on One Side? A young male patient visited US Dental clinic with pain in the…
Read More →
What is the best treatment option for a loose tooth? A male Patient visited US Dental clinic in Ahmedabad with…
Read More →
Make Bonds Stronger this Raksha Bandhan It was Suvrats’ last day at his parents’ house. tomorrow , he would be…
Read More →
Smile Makeover in Ahmedabad – Case of the Month Female patient visited us with chief complaint of multiple carious and…
Read More →
How to Turn Yellow Teeth to White? We all have natural tooth color that may vary from person to person…
Read More →
Which Tooth Cap is Best After Root Canal Treatment? You might have heard the term dental crown or cap during…
Read More →
Dental Implant Recovery Process Facts Dental implants are the most accepted and popular dental treatment in dentistry to get replacement…
Read More →