Can Root canal treatment be painless?
Generally, when the patient hears the word Root canal it makes them anxious. It’s a very common thought of people that root canal means “pain” and there are some misconceptions about dental procedures. But that was the old dentistry today with advanced technology, dentistry has changed in many ways. Today we are not only eliminating the pain but also making it too strong to serve you in future. Especially with the treatment like Root canal instead of extraction.Root canal treatment itself is not at all painful as we do the whole procedure under local anesthesia. Post-operative severe pain is also very less common. Feeling some discomfort and soreness in the root canal treated tooth for some days is normal.
The goal of this treatment is eliminating the infected nerve and tissues to relieve pain. In some rare cases there are chances that a patient feels severe pain like a tooth is fractured, tooth is completely non vital due to which there is formation of pus. But you can always visit your dentist if you are feeling pain because it indicates that something is wrong and needs some intervention to rule out the cause of pain.
It is very important to understand the procedure of this treatment and reason for doing it.
What is Root canal treatment?
During root canal treatment dentist will remove the infected nerve tissue and bacteria to replace it with artificial material called gutta percha. followed by filling and crown on top of it to protect the tooth and serve you for a longer time.Why is this treatment needed?
- Tooth cavity which reaches to nerve
- Long standing toothache
- Fractured tooth which is savable by RCT
- Cracked tooth
- Severe abrasion or attrition of teeth
- Teeth with gums disease
- Severe sensitive teeth
- Traumatized tooth
- Tooth with swelling due to pus accumulation
How much pain do you expect during and after root canal treatment?
The whole procedure of RCT is done under local anesthesia so definitely you are not going to feel any pain during the treatment.At US Dental we also use topical gel and spray also to numb the gums so that also reduces injection pain.
If patients are more anxious and fearful about their dental procedure, they can also get their treatment under nitrous (Gas) sedation or IV Sedation that will make you calm during the treatment. After completion of RCT you might feel mild to moderate pain which is controlled by the medicine prescribed by your doctor. As the infection heals the soreness and tenderness will be fine and you can get your dental crown.
Nowadays there are also options for laser assisted treatment which is helpful to completely eradicate the bacterial load from the canal system which significantly reduced the post-operative pain.
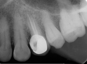
(Notice broken tooth with (Both canals filled with gutta percha) cavity involving nerve)
(Root canal treatment completed with PFM crown)
After the treatment and crown placement it is advisable to maintain proper oral hygiene and regular follow up with the dentist.
There is nothing to worry about treatment itself or pain regarding this. In case you are feeling unusual severe pain after some days of treatment you can contact your doctor immediately; they will find out the cause and advise you accordingly.
If you want the treatment, remember that the treatment is to relieve your pain not to add that.so don’t worry!!! always remember that prevention is always better than cure. If you are feeling any of the above symptoms, book your consultation with US Dental for pain free dentistry.
Are You Looking for A Dentist to Give You Painless Root Canal Treatment?
US Dental Clinic in Ahmedabad, Gujarat is a world-class dental treatment provider pioneered by American trained and licensed dentists and dental implant surgeon. With state of the art dental & implant centre, US Dental provides US standard quality treatment to all the patients ensuring a great dental treatment experience.
We look forward to hearing from you.
Contact Us Today!