Did you know flossing can prevent plaque and tartar build up?

Schedule Your Visit

Did you know flossing can prevent plaque and tartar build up?

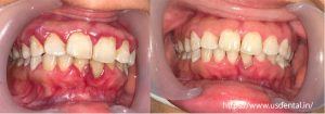
As we eat all kinds of food, it breaks carbohydrates present in food into acids with the help of bacteria present in the oral cavity. This thin layer of biofilm around teeth and gum line is called dental plaque. Dental plaque can easily be removed by proper brushing and flossing. But if we fail to remove this layer, over a period it converts into dental tartar. Tartar is hard in consistency and needs professional scaling and polishing by a dentist to remove it. If you fail to remove dental plaque and/or tartar, it may lead to 1) Bad breath 2) Bleeding gums 3) Eventually bone loss 4) Periodontitis and eventual tooth loss 5) Dental cavity/caries 6) Some research shows systemic connection of plaque induced gum disease with chronic diseases like diabetes type II, pneumonia, heart disease, etc. So how can you protect yourself from such dental problems ● Simply by brushing twice daily and flossing once daily, you can keep such disease away from you. ● Daily brushing also massages your gums and increases blood circulation to keep the gums healthy. Treatment outcome after dental scaling The patient complains of generalized swollen and bleeding gums in mouth. After dental scaling gums were healthy with no sign of swelling and bleeding. What is a dental floss? Dental floss is made up of nylon thread. Dental flossing should be done once in a day especially before bedtime. Types of Dental floss 1) Wax dental floss: used in very tight proximal contact areas. 2) Unwaxed dental floss: used in less tight proximal contact areas. 3) Super floss: used in open space areas in-between teeth. Along with this dental floss is available in roll form and with stand type. How to use dental floss According to the journal of Indian association of public health dentistry (JIAPHD). Flossing once a day can prevent you from chronic periodontal disease which can occur due to plaque accumulation. If your mouth is healthy, your body and mind will be healthy too. So, make sure to brush and floss to have a healthy mouth. “A smile begins where healing begins.” Looking for a specialist to get consultation on preventing plaque and tartar buildup? US Dental Clinic in Ahmedabad, Gujarat is a world-class dental treatment provider pioneered by American trained and licensed dentist and dental implant surgeon. With state-of-art dental & implant center, we provide online solutions on preventing plaque and tartar buildup through emails, calls, or messages. The problems are understood by the dentist online to make sure that everyone gets a healthy and happy smile.
We look forward to hearing from you. Contact Us Today!
Dental Image

Schedule a Pain-Less Dental Treatment Appointment