Choosing The Right Dental Implant Option For You Understanding Single Implants, AllOn–4

Schedule Your Visit

CHOOSING THE RIGHT DENTAL IMPLANT OPTION FOR YOU UNDERSTANDING SINGLE IMPLANTS, ALL ON –4, AND FULL MOUTH RESTORATION.

Dental implants represent a premier solution in dentistry for individuals with missing teeth. They offer a fixed alternative, providing patients with an appearance, feel, and chewing efficiency that closely resembles natural teeth. However, it is essential for patients to comprehend the appropriate dental implant option for their specific oral needs. The quantity of implants, along with the choice of restorative techniques and materials, can differ from one patient to another. Initially, we will explore the various methods of dental implant placement.

Dental Implant Options

  • Exploring Types and Techniques in Modern Dentistry

Single implant

  • In cases where an individual tooth is missing, a single implant is employed. This implant serves as a substitute for the tooth’s root, being securely anchored into the jawbone.
  • Following a healing period of approximately 3 to 4 months, an abutment is carefully chosen and affixed. Subsequently, a dental crown is placed atop the abutment. This method is an exceptional choice for replacing a single missing tooth, as it circumvents the need to modify adjacent teeth, a common requirement in crown and bridge procedures. The result is a more natural sensation during eating, closely mimicking the feel of a natural tooth.
UsDental
UsDental
Here we can see that a single implant is embedded into the bone, and with the aid of an abutment, a crown is securely placed

Implant supported bridge.

  • When multiple teeth are absent, it can significantly hinder the ability to chew food effectively. In such situations, the placement of more than one dental implant becomes necessary. These implants serve as the foundation for an implantsupported bridge, onto which crowns are attached. Patients have the option to select materials like Porcelain Fused to Metal (PFM) or zirconia for these crowns. 
  • This technique stands out as the optimal method for replacing natural teeth. It notably enhances the aesthetic appeal of one’s smile, particularly in areas where new teeth are visible. As a result, it boosts confidence in smiling and speaking.
  • Another significant advantage of this approach is its role in bone preservation. It contributes to improved periodontal health, leading to healthier gums and overall enhanced oral health compared to the state with missing or loose teeth
UsDental

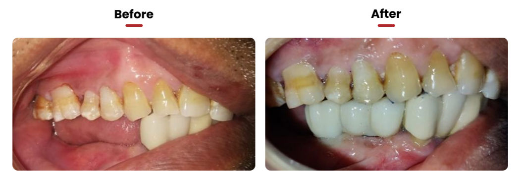
Dental Implant Restoration in Lower Right Jaw

  • The patient experienced difficulty in chewing due to missing teeth in the lower right section of the jaw. To address this, two implants were placed in the affected area, and subsequently, three crowns were
UsDental

Full mouth restoratio

  1. A comprehensive full mouth scan is conducted as a preliminary step in devising a strategic plan for implant placement. Utilizing the insights from the scan, detailed 3D planning is undertaken to determine the precise number of implants needed for optimal results. In this section, we will delve into the various methodologies employed for full mouth restoration
  2. Typically, this involves the installation of 4, 6, or 8 implants per jaw, which are instrumental in restoring essential functions such as chewing (mastication) and speech. The full mouth implant treatment not only enhances the functional aspects but also significantly improves aesthetic appeal, endowing patients with a radiant and confident smile.

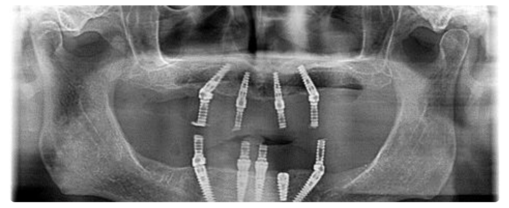
All-on-4 Dental Implants

  • This innovative approach involves the placement of four dental implants in a single jaw, where two implants are positioned vertically and the remaining two are angled.

Key Benefits of the All-on-4 Concept:

Optimal Placement in Challenging Conditions
  • This technique is particularly advantageous in cases where bone density is compromised, or where the sinus and nerve levels are in close proximity to the dental ridge. The strategic angling of implants allows for the avoidance of vital structures.
Cost-Effectiveness
  • Utilizing the All-on-4 system can result in a reduction of the overall treatment cost.


Efficiency and Convenience
  • This method enables the removal of all unhealthy teeth and the placement of implants within a single day. Patients can also receive temporary teeth within a week, significantly decreasing the number of necessary visits to the clinic and allowing for a quicker transition to a new smile.
UsDental
  • The accompanying x-ray illustrates the placement of four implants in the upper jaw, showcasing the two straight and two angled implants.

All-on-6 or All-on-8 Implant Systems: Comprehensive Restoration for 28 Teeth

  • The All-on-6 or All-on-8 implant systems are designed to robustly support the restoration of all 28 teeth in the mouth. By placing a greater number of implants, these systems provide a stronger foundation, enhancing the durability and longevity of dental restoration. As such, they are often referred to as lifelong solutions for tooth replacement and can even contribute to a more youthful appearance.

Material Selection Based on Individual Cases

  • Dentists have the flexibility to choose from various materials tailored to the specific needs of each case. In certain instances, a hybrid fixed denture is used, incorporating a titanium or cobalt-chromium bar. This choice offers the advantage of being relatively lightweight
  • However, it is important to note that these materials may have a lower capacity to withstand force compared to Porcelain Fused to Metal (PFM) or zirconia materials. Consequently, while being more costeffective, they are typically recommended in situations where the quality and quantity of bone are limited.
UsDental
  • Other materials, such as Porcelain Fused to Metal (PFM) and zirconia, possess a greater capacity to withstand occlusal forces. This enables patients to chew more efficiently, providing a sensation almost equivalent to that of natural teeth equivalent to that of natural teeth
UsDental
  • In the realm of modern dentistry, enhanced by the latest technological advancements, we now have access to a range of exceptionally refined options for tooth replacement.

US Dental Clinic, Ahmedabad: Pioneering Advanced Tooth Replacement Solutions

  • Located in the heart of Ahmedabad, US Dental Clinic stands as a beacon of excellence in contemporary dental care. Embracing the latest advancements in technology, we specialize in offering a spectrum of highly sophisticated tooth replacement solutions. Our clinic is dedicated to providing treatments that not only meet but exceed the expectations of modern dentistry. From precision diagnostics to state-ofthe-art implant procedures, we ensure our patients receive the finest care in a comfortable and professional environment.
At US Dental Clinic, every patient’s journey towards optimal oral health and aesthetics is guided with premium care and expertise.
Schedule your Appointment!