I broke my front tooth in an accident

Schedule Your Visit

I broke my front tooth in an accident…. What to do now?

Experiencing a sudden chipped or broken tooth can be a startling occurrence, as dental accidents can occur unexpectedly, regardless of a person’s dental health. Although teeth are highly resilient, certain unforeseen situations may result in chipping, cracking, or breaking of teeth. In such cases, it is vital to take prompt action to alleviate pain and prevent permanent damage.
UsDental

Tips to Help You Deal with a Dental Emergency – What to Do When You Chip or Break a Tooth?

  • Rinse your mouth out with water.
  • Apply pressure to stop the bleeding, and call for help if it’s severe.
  • If the tooth come out completely, you can preserve the knocked-out tooth in milk, or saline solution or inside the mouth at the vestibule area, so that the tooth won’t dry out.

    With prompt intervention, it may be possible to save the tooth through various treatments. Seeking prompt dental attention is critical for the best chance of success.
  • Use cold compression to relieve pain and swelling.
  • Seek dental treatment as soon as possible.
Seeing a dentist after an accident is essential, even if you don’t have any symptoms. Sometimes, an invisible crack or blunt trauma can cause tooth infection months or years after the incident. Therefore, following up with a dentist as advised after trauma is compulsory.

Solutions for partially chipped and broken teeth

  • Composite filling

    For a minimally broken tooth that does not involve the nerve, a simple tooth-colored composite filling is recommended to repair the broken piece. This prevents the rough edge from cutting or damaging your lips or tongue, as well as restoring the appearance of the tooth.

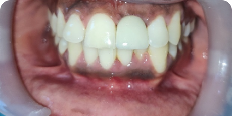
    Before
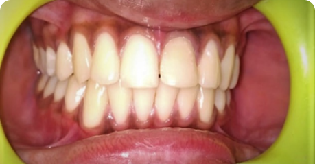
    After
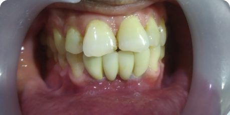
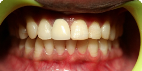
  • Dental veneer

    If a large portion of the tooth is chipped out but does not involve the pulp, dental veneers are an effective way as they last longer and supply a more aesthetic look compared to simple filling. Additionally, dental veneers are also resistant to stains.

    Before
    After
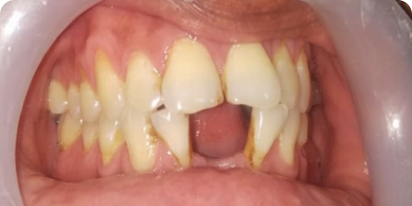
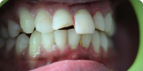
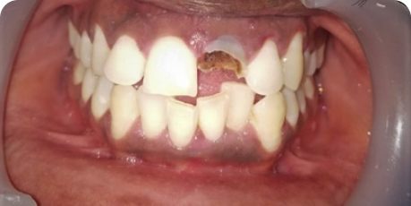
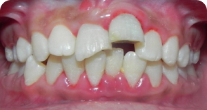
  • Dental crowns

    If a tooth is fractured with involvement of nerve or shows signs of infection after an accident, then root canal treatment is recommended to save the tooth. Following the root canal treatment, a dental crown must be placed.

    Before
    After
    Before
    After
Seeing a dentist after an accident is essential, even if you don’t have any symptoms. Sometimes, an invisible crack or blunt trauma can cause tooth infection months or years after the incident. Therefore, following up with a dentist as advised after trauma is compulsory.

Solutions for Completely Avulsed and Broken Teeth

  • Tooth reimplantation

    If a tooth is completely knocked out during an accident, and the patient can retrieve the tooth within an hour without allowing it to dry out (by carrying the tooth in HBSS solution, milk, saline), a dentist can reposition the tooth and apply rigid splinting. This case requires regular follow-up appointments to watch the treatment outcome.

    If the patient is unable to retrieve the knocked-out tooth, or if the above treatments do not supply satisfactory outcomes, this missing tooth will need to be replaced.
  • Dental implant

    Nowadays, dental implants are the preferred options to replace missing teeth as they provide a natural look and feel, giving a more aesthetically pleasing result.

    Before
    After
  • Dental bridge

    For patients requiring tooth extraction due to damage, an alternative solution is a dental bridge. This method entails utilizing two abutment teeth to secure a synthetic tooth or teeth, effectively filling the void resulting from the absence of the natural tooth or teeth.

    Before
    After
Overall, experiencing a cracked, broken, or chipped tooth can be considered a dental emergency, and seeking prompt dental attention is essential. Postponing treatment can result in exacerbated complications and irreversible harm. Patients should not hesitate to contact their dentist immediately upon discovering a damaged tooth. The aforementioned procedures can help patients figure out the best course of action for dental treatment.

Worried about visiting the dentist?



Don’t let fear hold you back! Our team at US Dental Clinic, Ahmedabad is here to ease your worries and guide you towards the best solution for your broken tooth.

Ready to transform your smile?

Schedule an appointment today and let our team of experts help you.
UsDental

We look forward to hearing from you.


Contact Us Today!
Dental Image

Schedule a Pain-Less Dental Treatment Appointment