How Much Does All On Four Dental Implant Treatment Cost?
How Much Does All On Four Dental Implant Treatment Cost? Dental implants are the best way to get fixed teeth…
Read More →
How Much Does All On Four Dental Implant Treatment Cost? Dental implants are the best way to get fixed teeth…
Read More →
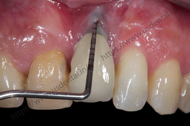
How to Fill Gap Between The Teeth – Case of the Month – Dental Veneers Some of us are more…
Read More →
Case of the Month – All on 4 Dental Implants Middle aged female patient reported to US Dental clinic with…
Read More →
Who likes bad smile or poor looking smile with dark gums? No-one! Right? A young patient visited to US Dental…
Read More →
Everything you need to know about keeping your tongue healthy. Many people concentrate on keeping their teeth healthy, but we…
Read More →
Dental implants are a screw-shaped anchor that is surgically placed in the jawbone which acts as a replacement for the…
Read More →
For college going students, looks & features matter a lot. Their hair should be done right, clothes must be well…
Read More →
A dental implant is one of the most biocompatible prosthesis with the success rate of 90-95 %. Nevertheless, the failure…
Read More →
The mouth also termed as an oral cavity in human anatomy allows the food and air to enter the body.…
Read More →
Eating habits and eating items have a great influence on the teeth. In many cases, when individuals start losing one…
Read More →
Patient name Farheen Khimani reported to us dental clinic, Ahmedabad for a dental checkup. On clinical examination patient had 22…
Read More →
Computer-Guided Dental implant: An advance and latest solution for your missing teeth The dental implant is the latest treatment of…
Read More →
Now, Dental Checkups become as important as brushing teeth every day. Dentistry is moving into a more challenging time and…
Read More →
Smile designing is a cosmetic dental procedure which artistically improves your smile in a most natural way. Smile designing includes…
Read More →
You can eat all your favorite food now, no more compromise on your delicious food just because you have a…
Read More →